One fundamental sense that shapes our perception of the world is vision. However, daily life can be difficult for people with rare retinal conditions like heredomacular dystrophy. India is now gaining attention as a destination for advanced regenerative therapies. Eyestemcellcenter, renowned for setting the standard for treating heredomacular dystrophy in India, is one such bright
Macular dystrophy is a collection of inherited eye diseases that impact the macula, the central region of the retina that functions to provide detailed vision. Gradually, this condition may cause increasing vision loss, adversely impacting an individual’s reading, driving, face recognition, and everyday activities. At EyeStem Cell Center, we remain pioneers in cutting-edge treatment methods
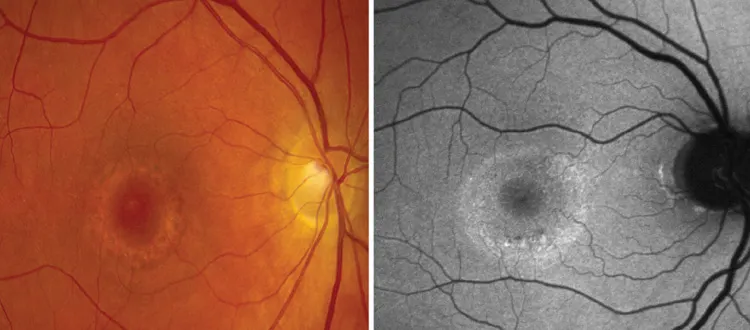
Bull’s eye maculopathy is a rare and progressive retinal disorder that occurs mostly in the macula—the inner part of the retina that deals with clear, detailed vision. The disease has been given its name because it follows a bull’s eye target-like pattern during retinal scans. The disease progressively damages central vision but leaves peripheral vision
Glaucoma optic atrophy is a profound and lasting disease in which glaucoma-induced damage causes deterioration of the optic nerve and increasing vision loss. The optic nerve conveys visual information from the eye to the brain, and once the nerve fibers are off-track, vision cannot be regained by traditional means. Yet, with modern treatment in regenerative
India is one of the foremost places where individuals from all corners of the globe undergo treatment for their illnesses particularly in the field of ophthalmology. Due to the ever-increasing population suffering from vision impairment, there is a greater need for effective treatment for eye vision loss. At Eye Stem Cell Center India, we are
Stickler Syndrome is a congenital genetic disorder that impacts connective tissues across the body, specifically collagen — the protein responsible for strength and structure in joints, cartilage, and the eye. Perhaps the most serious complication linked to Stickler Syndrome is Retinal Dystrophy, a potentially sight-stealing condition that requires early diagnosis and treatment. What is Stickler
Introduction Oguchi disease is a rare inherited disorder of the retina, the light-sensitive tissue at the back of the eye. It was named after Dr. Chuta Oguchi, who first reported it in 1907. The condition is marked by night blindness and characteristic changes in the color of the retina. While not dangerous, Oguchi disease has
Retinitis Pigmentosa (RP) is a collection of genetic diseases that cause progressive degeneration of the retina, usually causing night blindness, loss of peripheral vision, and, in late stages, loss of central vision. Although there is no known cure at present, New Delhi provides a range of treatments to control symptoms and retard disease progression. Traditional
Searching for Excellence in the treatment of eye diseases at the top eye stem cell treatment center In disease or injury to the human eye, new prospects and solutions are viewed through the assistance of stem cell therapy. The selection of the top eye stem cell treatment center can prove to be an important consideration
Retinitis Pigmentosa (RP) functions as a degenerative disease that attacks the retina while causing vision deterioration until total blindness emerges in several patients. The widespread rare inherited eye disorder known as RP disrupts major life activities of those living with this condition. The traditional available treatment for RP involved symptom control and disease progression delay