Vision is one of the most important senses, and any impairment can significantly affect daily life. Eye conditions such as retinal degeneration, optic nerve damage, and chronic visual disorders can gradually reduce clarity and independence. While traditional treatments aim to manage these conditions, many patients are now exploring stem cell therapy as an advanced option
Vision loss can deeply impact daily life, affecting independence, confidence, and overall well-being. Conditions such as retinal degeneration, optic nerve damage, and other chronic eye disorders often progress over time, with limited improvement through conventional treatments. As a result, many patients are now exploring stem cell therapy as a modern approach to support vision restoration
Chronic eye conditions can affect vision over time, making it difficult for individuals to perform routine activities such as reading, driving, or recognizing faces. Conditions like diabetic retinopathy, retinal damage, and age-related vision decline often progress gradually and may not respond effectively to conventional treatments alone. Stem cell therapy is now being explored as an
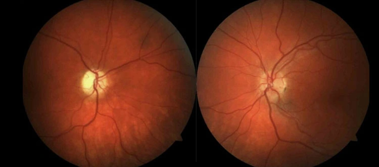
Optic nerve disorders are among the most challenging eye conditions, often leading to partial or complete vision loss. The optic nerve plays a crucial role in transmitting visual signals from the eye to the brain, and any damage to this pathway can significantly affect vision. Conditions such as optic nerve atrophy, glaucoma-related damage, and trauma
Degenerative eye diseases are among the leading causes of vision loss worldwide. Conditions such as Retinitis Pigmentosa, macular degeneration, and optic nerve atrophy gradually damage the structures of the eye, making it difficult for patients to maintain clear vision. These conditions often progress slowly, and traditional treatments may only help manage symptoms rather than restore
Optic nerve damage is a serious condition that disrupts the transmission of visual information from the eye to the brain. This can result in partial or complete vision loss, depending on the severity of the damage. Conditions such as optic nerve atrophy, glaucoma, and trauma-related injuries can lead to irreversible vision impairment if not managed
Vision plays a vital role in everyday life, and any damage to the retina can significantly impact independence and overall well-being. Retinal diseases such as Retinitis Pigmentosa, macular degeneration, and diabetic retinopathy are among the leading causes of progressive vision loss worldwide. These conditions often develop gradually and may not respond effectively to conventional treatments.
Patients in Indonesia facing vision loss due to retinal and optic nerve conditions are increasingly exploring stem cell therapy as an advanced treatment option. Eye diseases such as Retinitis Pigmentosa, optic nerve damage, and macular degeneration can gradually reduce vision and impact everyday activities. When conventional treatments offer limited improvement, regenerative medicine provides a new
In Tajikistan, patients experiencing vision loss due to retinal and optic nerve disorders are increasingly seeking advanced medical solutions beyond conventional treatment methods. Conditions such as optic nerve atrophy, retinal degeneration, and other chronic eye diseases can progressively affect vision and limit daily functioning. Stem cell therapy is gaining attention as a modern approach to
Patients in Ghana are increasingly exploring advanced medical options for managing vision-related conditions that affect daily life and independence. Eye disorders such as optic nerve damage, retinal degeneration, and other chronic visual impairments can significantly reduce quality of life when left untreated or when conventional treatments provide limited improvement. Stem cell therapy is now emerging