London is a global hub for medical innovation, research, and advanced healthcare services. Even within this world-class medical environment, many patients are exploring regenerative medicine — particularly stem cell therapy — to address chronic illnesses, degenerative conditions, and injuries that have not responded optimally to conventional treatments. Stem cell therapy offers an approach that supports
Cone dystrophy is a rare but serious eye complaint that gradationally affects a person’s capability to see easily, especially in bright light or during color recognition. It primarily impacts the cone cells of the retina, leading to central vision loss and making everyday tasks like reading, driving, or feting faces delicate. While this condition has
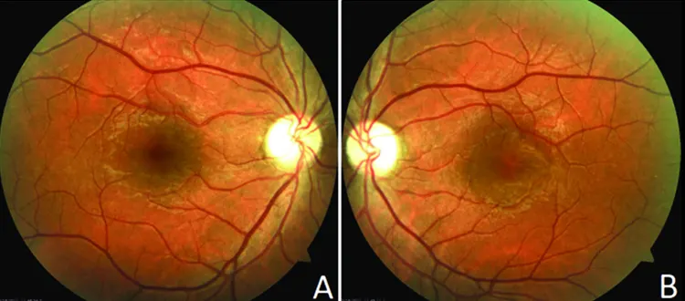
Rod and cone dystrophy is a genetic eye disorders that damage vision by affecting the rods and cones of the retina’s photoreceptor cells. The primary work of these cells are that, they are responsible for the way we see light, color, and detail. Rods are responsible for peripheral and night vision, whereas cones have the
Retinitis Pigmentosa (RP) is an inherited disorder. It impacts the retina. And thus gradually results in vision decline. It may also result in possibly blindness. Earlier, the stem cell treatment for Retinotis Pigmentosa Disease was focused on educating methods. This was a procedure by which the progression of the condition could be treated. Understanding Retinitis
Retinitis Pigmentosa (RP) acts as a degenerative condition that targets the retina while leading to vision loss until complete blindness arises in various patients. The common rare inherited eye disease referred to as RP interferes with significant life activities of individuals suffering from this condition. The historic treatment option for RP was merely symptom management
Unlike others eye therapies that seek to bring down the pressure around the eyes, stem cell therapy relies on the healing of optic nerve cells that have been destroyed by the condition. For the patients who are thinking about utilizing this procedure, it means preparation. Learn about the therapy and make a proper assessment of
Optic atrophy is a serious diagnosis which can be terrifying for the patient. Stem cell treatment is a new hope in these cases. This revolutionary approach not only work for regaining vision but also makes patients engaged into the process of their recovery. With its focus on clinical information, this blog aims to guide patient
Optic atrophy, also known as optic nerve atrophy, is basically a degenerative health condition of the nerve that causes blindness since it is irreversible in nature. But the breakthrough in stem cell therapy indicates other technique options for treatment that may transform the approach to regain vision. Let us understand the new strategies that are
The condition of optic atrophy poses a very great challenge in as much as it affects the vision of an individual and his or her mobility in activities that require proper vision. This disease has therefore presented patients and families with difficult diagnosis and thus the search for such treatment regimens as stem cells therapy.
Optic atrophy involves the degeneration of its nerve fibers. Other forms of treatment have provided very little consolation but with current pioneering stem cell treatment, patients and especially clinicians are now holding onto a ray of light. Stem cells have the ability to bring sight to the visually impaired so let us look at how