One of the most common causes of vision loss in older adults (in Germany and all over Europe) is age-related macular degeneration treatment in Germany (AMD). AMD occurs in two types: wet, which is treated with injections to regulate the abnormal blood vessels, and dry, which provides fewer treatment options, and the disease usually ends
Many in the Democratic Republic of Congo have retinitis pigmentosa (RP), optic atrophy, macular degeneration and other retinal disorders. They result in slow vision impairment, which usually starts with night blindness or fuzzy central vision. Access to further eye care is low due to healthcare issues, extensive commuting to specialists, and absence of local care
Retinitis pigmentosa, or RP, is a rare hereditary eye disorder which slowly robs people of their vision. In Canada, it affects 1 out of 4000 people – approximately 10000 Canadians live with it. Signs are noted by most individuals when they are children or teens. It has no cure yet, and patients have an opportunity
In Oman, patients diagnosed with progressive retinal and optic nerve disorders are increasingly researching advanced regenerative eye care options. Conditions such as Retinitis Pigmentosa and Leber Hereditary Optic Neuropathy (LHON) can gradually impair vision, often leading individuals to explore international centers specializing in regenerative ophthalmology, including programs available at Eyestemcellcenter.com. Degenerative vision disorders affect the
In Ethiopia, degenerative retinal diseases continue to present significant long-term visual challenges for patients and families. Inherited retinal dystrophies and progressive optic nerve disorders can gradually impair vision, limiting daily activities and independence. As medical awareness grows and global healthcare access expands, many individuals from Ethiopia are actively researching advanced regenerative treatment options, including specialized
In Iraq, patients diagnosed with progressive retinal degeneration and optic nerve disorders often encounter limited access to highly specialized regenerative ophthalmic treatments. Conditions that gradually damage photoreceptor cells or optic nerve fibers can significantly impair vision and quality of life. As awareness of global medical advancements increases, many Iraqi patients and families explore international regenerative
In Yemen, patients diagnosed with progressive optic nerve atrophy and inherited retinal dystrophies often face significant challenges in accessing highly specialized ophthalmic treatments. Degenerative eye conditions require advanced diagnostic technology, structured monitoring, and long-term expertise that may not always be readily available locally. As awareness of international medical advancements increases, many Yemeni families explore regenerative
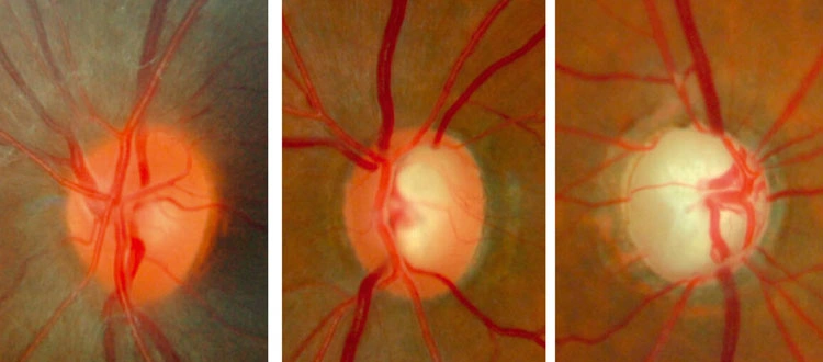
India is increasingly recognized for advancements in ophthalmic regenerative medicine. For patients facing progressive retinal or optic nerve damage, stem cell therapy is being explored as a supportive treatment under controlled medical protocols. Conditions Being Studied Stem cell therapy in India is explored for: Leber’s hereditary optic neuropathy Optic nerve atrophy Retinal dystrophies Autoimmune-related optic
In Uganda, patients diagnosed with progressive retinal dystrophies and optic nerve disorders often face significant challenges in accessing highly specialized ophthalmic interventions. Complex degenerative conditions require advanced imaging, structured monitoring, and long-term clinical expertise that may not always be readily available locally. As awareness of global medical advancements grows, many Ugandan patients and families begin
In Egypt, inherited retinal diseases and optic nerve disorders continue to pose significant long-term challenges for patients and their families. Conditions that progressively damage retinal cells or optic nerve fibers often result in gradual vision decline, reduced independence, and emotional stress. When conventional medical therapies provide limited improvement or stabilization, many patients begin exploring advanced